

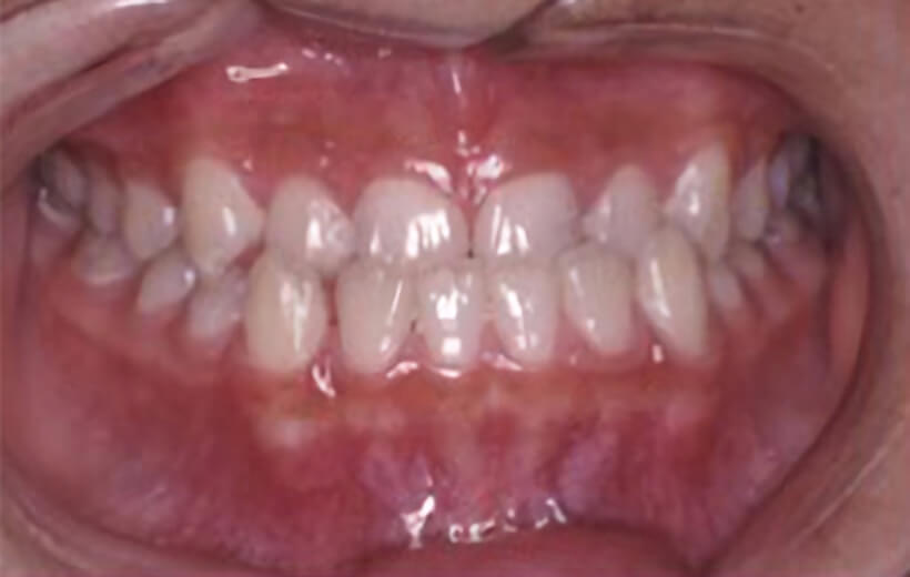
| 主訴 | 口元が出ている・出っ歯 |
|---|---|
| 主な症状 | 口呼吸・口唇の突出・下の前歯が見えない |
| 年齢 | 8歳 |
| 治療に用いた主な装置 | 機能顎矯正装置(バイオネーター) |
| 抜歯部位 | 非抜歯 |
| 治療期間 | 3~4年 |
| 治療費 | 20~30万円程度 |
| リスク・副作用 | 自分で口の中に入れる装置で患者様の協力が必須で治療期間も長く、治療効果の見られないこともある等 |

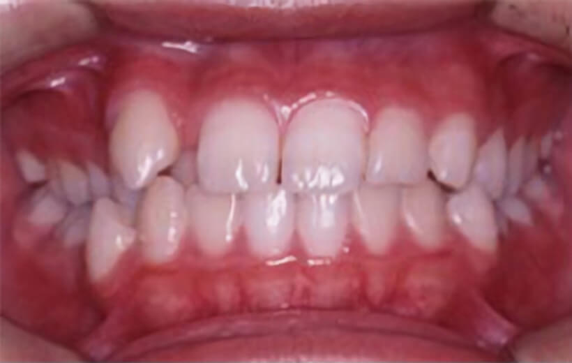
| 主訴 | 受け口 下の前歯の歯茎が下がった |
|---|---|
| 主な症状 | 噛む時に上下の前歯があたって顎がずれる。受け口。下顎前歯の歯肉退縮 |
| 年齢 | 7歳 |
| 治療に用いた主な装置 | 前方牽引装置・床矯正装置 |
| 抜歯部位 | 非抜歯 |
| 治療期間 | 1年程度 |
| 治療費 | 20~30万円程度 |
| リスク・副作用 | しゃべりづらくなる・二期治療の必要な場合がある等 |

| 主訴 | 歯の生えるスペースが足りない |
|---|---|
| 主な症状 | 叢生 口呼吸 |
| 年齢 | 8歳 |
| 治療に用いた主な装置 | 急速拡大装置・マルチブラケット装置 |
| 抜歯部位 | 非抜歯 |
| 治療期間 | 4年程度 |
| 治療費 | 60~70万円程度 |
| リスク・副作用 | 上顎拡大時に顔面の痛みを伴うことがある。しゃべりづらい。歯磨きしにくい等。食べ物に制限がある等 |

| 主訴 | いつも口をあけている。上の前歯が出ている。 |
|---|---|
| 主な症状 | 口呼吸 上顎アーチがVシェイプ |
| 年齢 | 10歳 |
| 治療に用いた主な装置 | 筋機能療法のみ |
| 抜歯部位 | 非抜歯 |
| 治療期間 | 1年程度 |
| 治療費 | 5万円 |
| リスク・副作用 | 舌や口腔周囲筋の日々のトレーニングなので、本人や家族の根気強い努力が必要。定着するまで時間がかかる。アレルギー性鼻炎などによる鼻閉のある場合はその治療も必要。 |


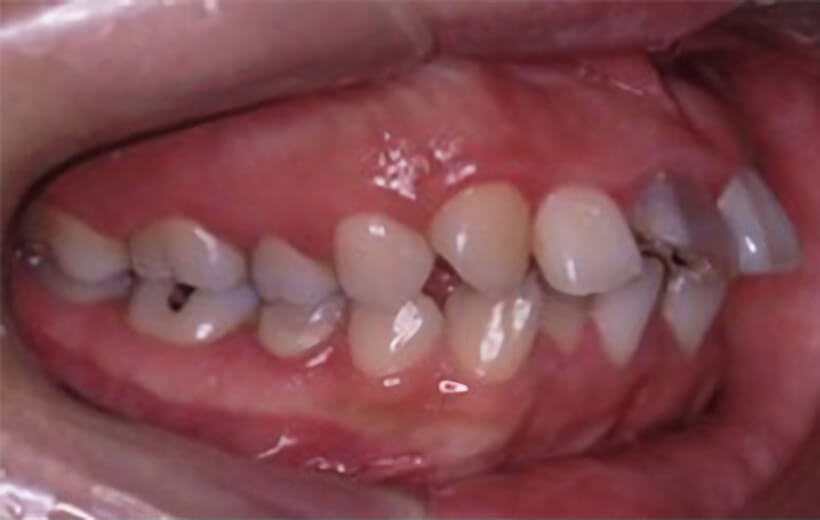
| 主訴 | 前歯のねじれ 口元の突出感 |
|---|---|
| 主な症状 | 叢生・両顎前突 |
| 年齢 | 24歳 |
| 治療に用いた主な装置 | マルチブラケット装置 |
| 抜歯部位 | 上下左右第一小臼歯・第三大臼歯 |
| 治療期間 | 1年8ヵ月程度 (保定期間は含まれていません) |
| 治療費 | 60~70万円程度 |
| リスク・副作用 | CT撮影し、骨と歯根の位置を確認しながら歯を移動しますが、歯根吸収することがあります。しゃべりづらい。歯磨きしにくい等。 |


| 主訴 | 受け口 |
|---|---|
| 主な症状 | 閉口時に早期接触と偏位を伴う反対咬合 |
| 年齢 | 16歳 |
| 治療に用いた主な装置 | 前方牽引装置・マルチブラケット装置 |
| 抜歯部位 | 非抜歯 |
| 治療期間 | 1年10か月年程度 (保定期間は含まれていません) |
| 治療費 | 60~70万円程度 |
| リスク・副作用 | しゃべりづらい。歯磨きしにくい。歯根吸収等。 |


| 主訴 | 上の前歯が出ている。口が閉じにくい。 |
|---|---|
| 主な症状 | 口唇の突出 |
| 年齢 | 26歳 |
| 治療に用いた主な装置 | マルチブラケット装置・歯科矯正用アンカースクリュー |
| 抜歯部位 | 上下左右第一小臼歯・第三大臼歯 |
| 治療期間 | 1年8ヵ月程度 (保定期間は含まれていません) |
| 治療費 | 60~70万円程度 |
| リスク・副作用 | しゃべりづらい。歯磨きしにくい。歯根吸収等。 |


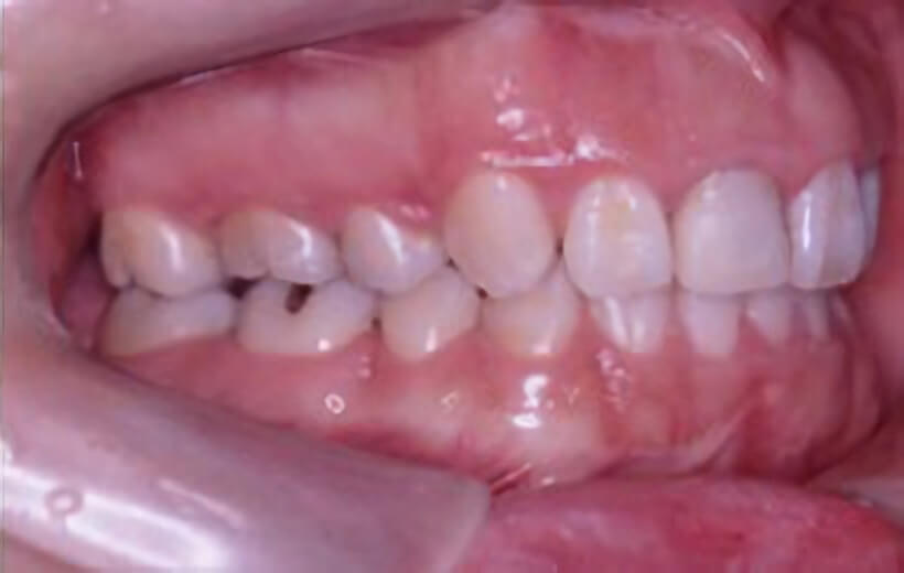
| 主訴 | 上顎の切歯が中に入っている |
|---|---|
| 主な症状 | 叢生 |
| 年齢 | 16歳 |
| 治療に用いた主な装置 | マルチブラケット装置 |
| 抜歯部位 | 上下左右第一小臼歯 |
| 治療期間 | 1年5ヵ月程度(保定期間は含まれていません) |
| 治療費 | 60~70万円程度 |
| リスク・副作用 | しゃべりづらい。歯磨きしにくい。歯根吸収等。 |


| 主訴 | 上下の歯がかみ合わない |
|---|---|
| 主な症状 | 開口 |
| 年齢 | 19歳 |
| 治療に用いた主な装置 | マルチブラケット装置・歯科矯正用アンカースクリュー |
| 抜歯部位 | 上下左右第一小臼歯・第三大臼歯 |
| 治療期間 | 2年2ヵ月程度(保定期間は含まれていません) |
| 治療費 | 60~70万円程度 |
| リスク・副作用 | 正常な咀嚼・嚥下機能を営めていないので、長期的な保定と観察が必要。しゃべりづらい。歯磨きしにくい。歯根吸収等。 |
| 初診相談 3,300円(税込) |
|---|
| 治療に対するご希望をお聞きして、おひとりおひとりに合った大まかな治療方法や期間・タイミング・治療終了までの明確な治療費の明細をご提示します。(約1時間) |
| 検査・診断 66,000円(税込) |
|---|
| お顔のレントゲン写真・歯の模型・カリエスリスク検査・顎機能検査などの分析から、現在の状況と具体的な治療計画をご説明します。(検査:1時間30分 診断結果説明:30分) |
| 一期治療(総額15~30万円前後) |
|---|
| 7~9歳頃の混合歯列期の矯正治療 |
| 二期治療(総額30~40万円前後) |
|---|
| あごの成長のほぼ終了した思春期以降の矯正治療。 必要があれば行ないます。 |
| 全体的な矯正(総額60~70万円) |
|---|
| セラミックやプラスチックなどの歯に近い色の装置を使用するため比較的目立ちません。 |
| 部分的な矯正(総額110,000円~) |
|---|
| 歯並びや噛み合わせに問題のある部分に装置を付けて矯正する方法。 |